B-nest
Dracht van dag tot dag:
| klik hier voor: | bevalling - week 1 - week 2 - week 3 - week 4 - week 5 - week 6 - week 7 - week 8 - B-nest |
| 10-12-2020 | Puppies !!!![]() |
| 04-12-2020 | Ellis groeit gestaag. Ze eet als een bootwerker, maar voelt zich verder prima.![]() |
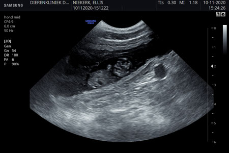
| 10-11-2020 | Ellis is drachtig !! Op de echo waren 8 puppies te zien.![]() |
| 12-10-2020 | Ellis lijkt er nog steeds niks van te willen weten, maar als ik haar tegen me aan hou, blijft ze netjes staan, staart gaat ook opzij en de dekking is een feit, 10 min gekoppeld. Een dag later moet ze er niks meer van hebben, dus gaan we naar huis. |
| 09-10-2020 | Progesteron is 4.6, dus over 2 of 3 dagen de dekking |
| 06-10-2020 | Progesteron is nog ruim beneden 1.2 |
| 29-09-2020 | Ellis is loops |
![]() Ellis en Charly |
Laatst gewijzigd op:



